Par le Dr. Gaetano Paolone
|
“Le composite Transcend™ s'adapte chromatiquement au substrat et conserve sa forme lors de sa mise en place...” |
- Dr. Gaetano Paolone
Dentiste
Cas clinique
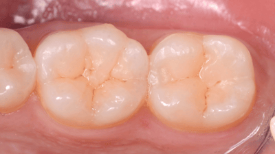
Restauration diminuée. Dépose de l'ancien matériau et préparation des dents pour l'application du composite Transcend™ teinte Universal Body. Restauration finale après application de la teinte UB par incréments de 2 mm, puis polissage.

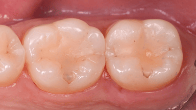
1. Restaurations anciennes défectueuses.

2. Après une isolation adéquate par pose de la digue en caoutchouc, les matériaux anciens sont déposés.

3. Mordançage sélectif de l'émail avec Ultra-Etch ™ pendant 30 secondes.

4. Situation clinique après la procédure de collage.

5. Transcend ™ composite teinte Universal Body (UB) appliqué par couches successives de 2 mm.

6. Situation clinique avant caractérisation occlusale.

7. Notez l'amélioration de la caractérisation occlusale après l'application du pigment.

8. Restauration finale après le protocole de polissage.
.png?width=600&height=361&name=Transcend_Composite_Caps_Off_UB_01_3D%204%20(1).png)
Composito Universale Transcend™
L'auteur

Dr. Gaetano Paolone
Depuis 2014, le Dr Paolone est professeur de recherche en dentisterie restauratrice à l'Università Vita-Salute San Raffaele de Milan. Il a obtenu un doctorat en biomatériaux dentaires à l'université de Portsmouth, au Royaume-Uni. Le Dr Paolone est membre associé de l'Académie américaine de dentisterie restauratrice (AARD) et membre actif de l'Académie italienne de dentisterie conservatrice et restauratrice (AIC). Il a siégé au conseil d'administration de l'AIC en tant que secrétaire de 2018 à 2019 et au comité scientifique de 2020 à 2022. Le Dr Paolone gère un cabinet privé à Rome. En outre, il enseigne dans le cadre du programme de maîtrise en esthétique et en dentisterie restauratrice à l'université de Bologne, en Italie, et dans le cadre du diplôme universitaire (DU) en dentisterie esthétique à l'université de Montpellier, en France. Il est l'auteur
de deux livres, Direct Posterior Composite Restorations et Direct Anterior Composite Restorations. Il est également l'auteur et le co-auteur de nombreux articles dans des revues scientifiques internationales et a contribué à divers ouvrages. Il donne régulièrement des cours et des conférences au niveau national et international.
